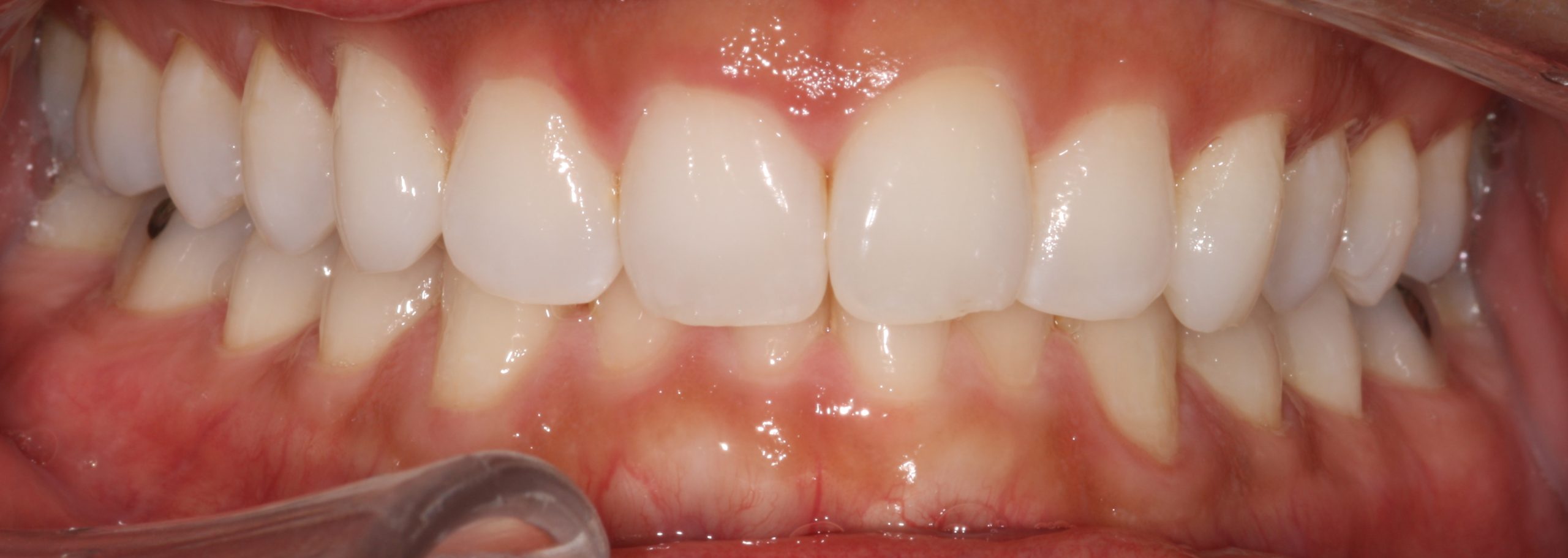
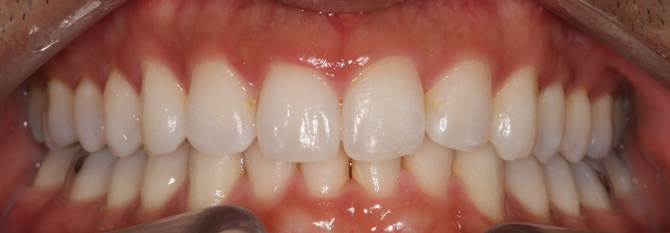
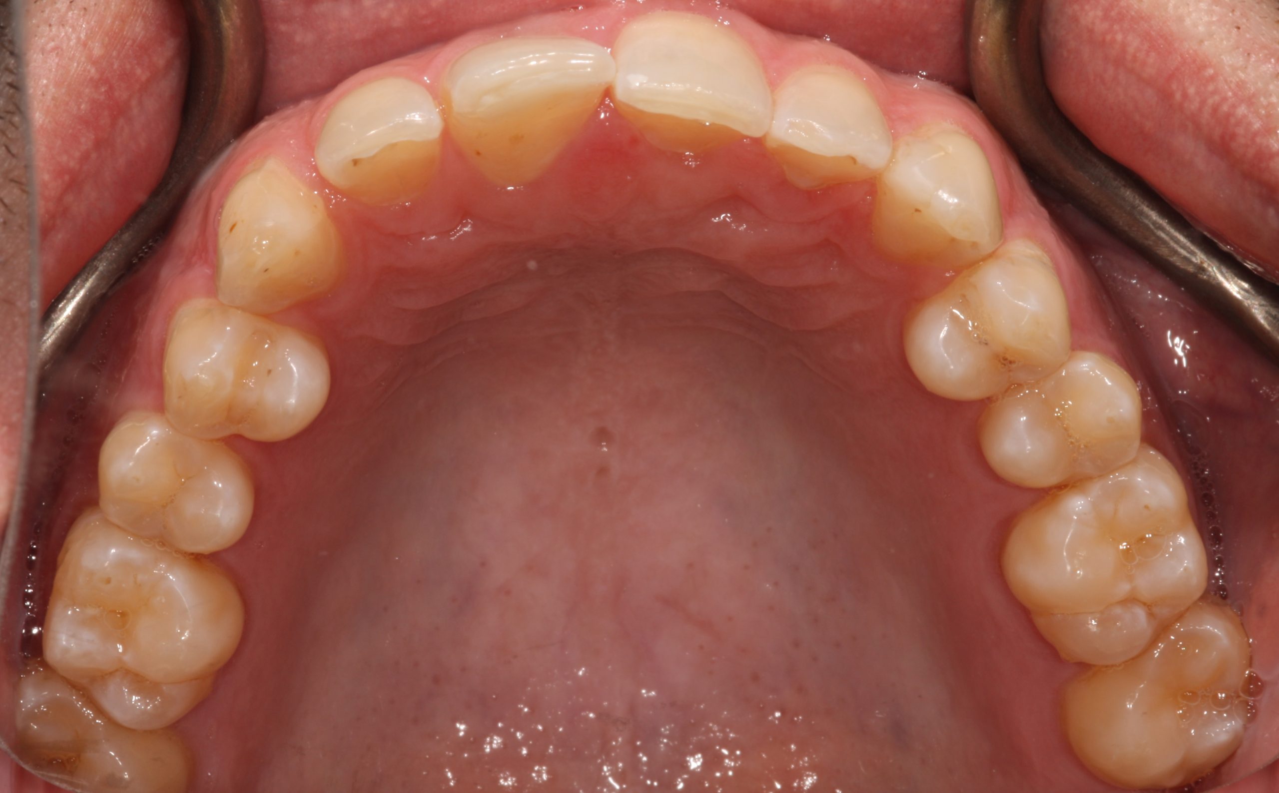
Browse our smile gallery below to see some telling before and after photos that show the expertise Dr. Lukman has in Invisalign treatment.
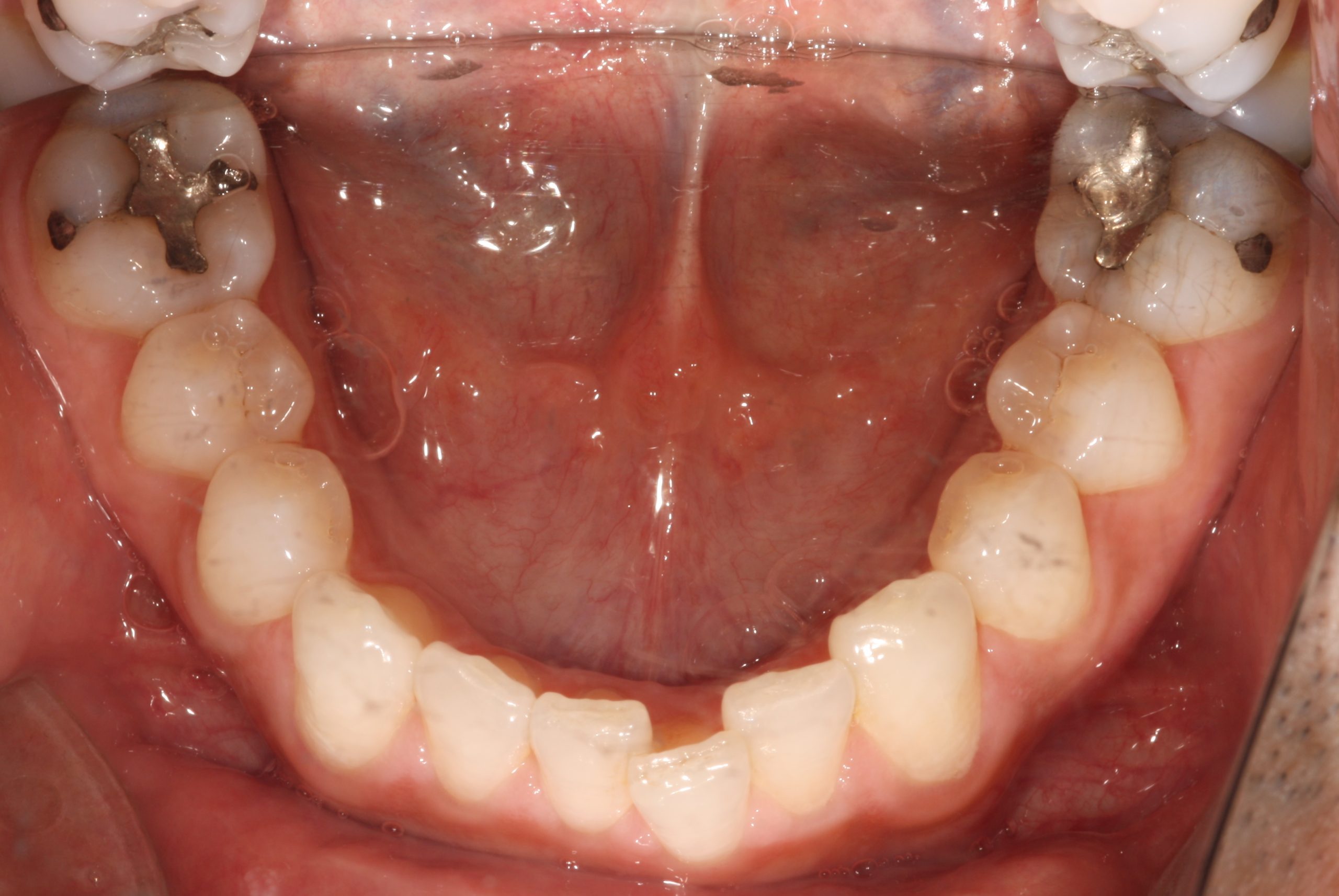
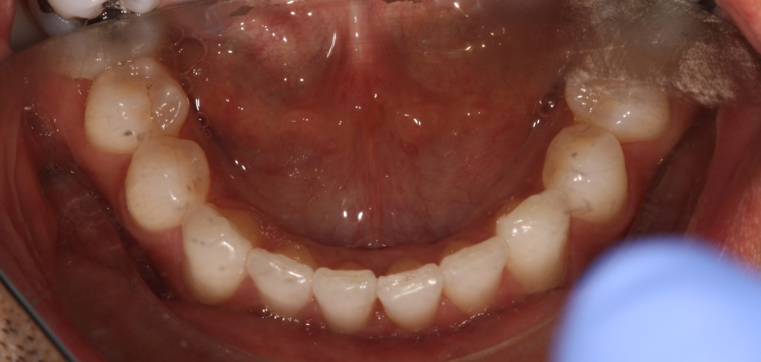
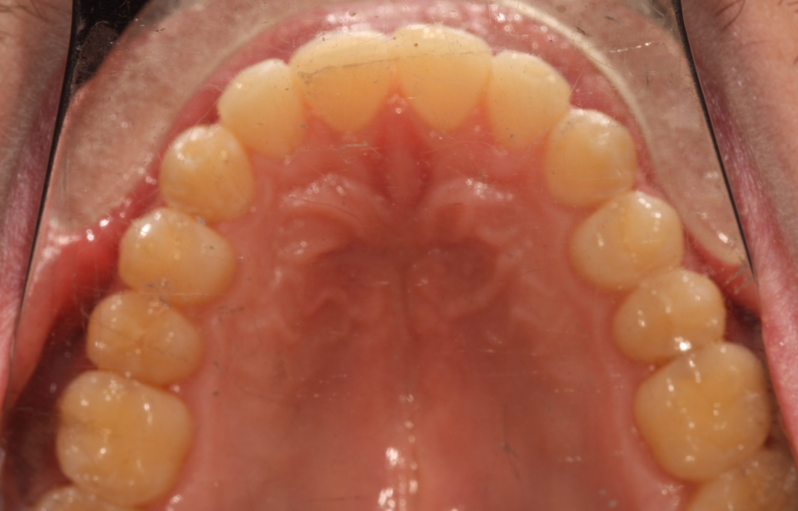
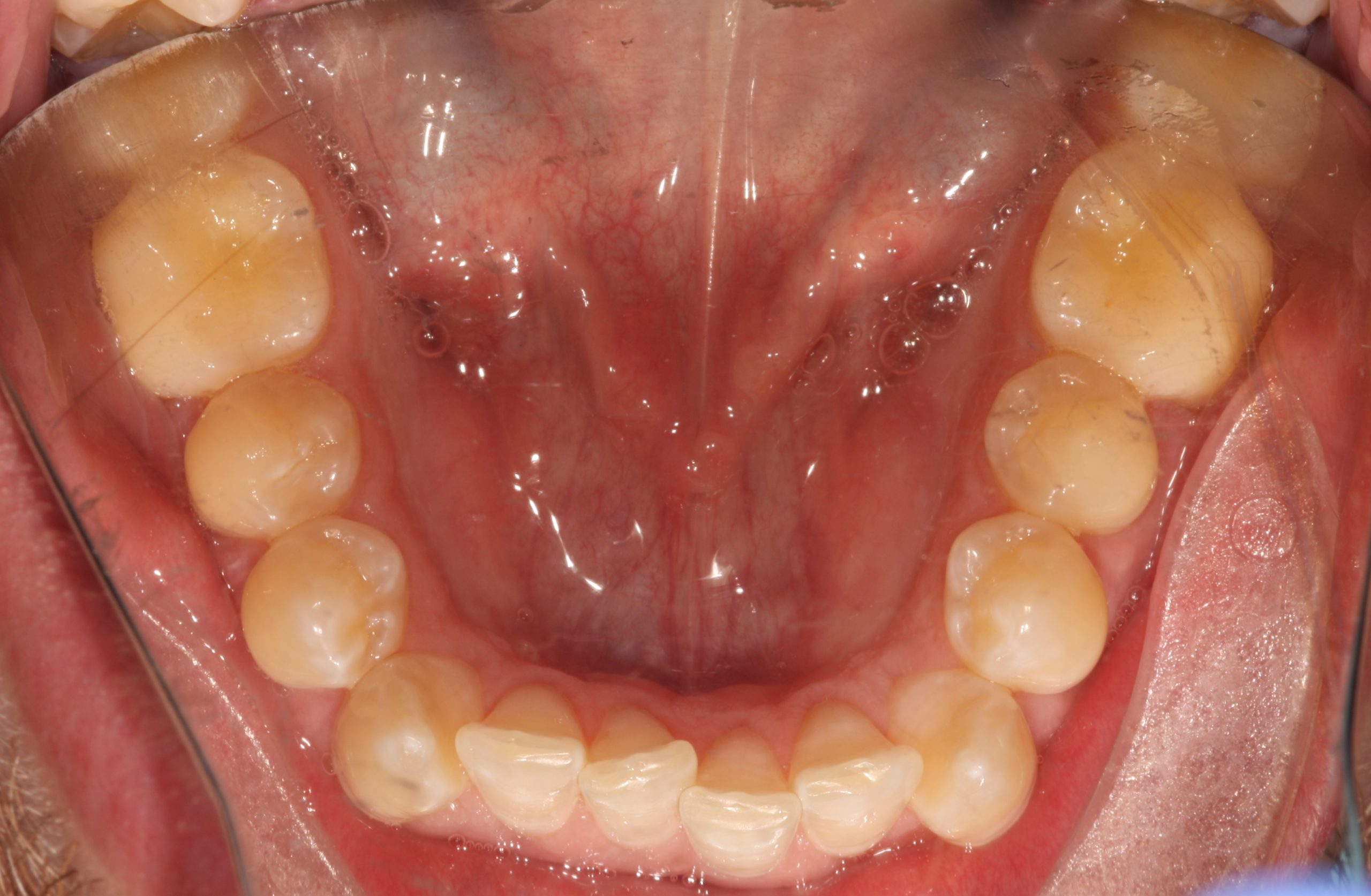
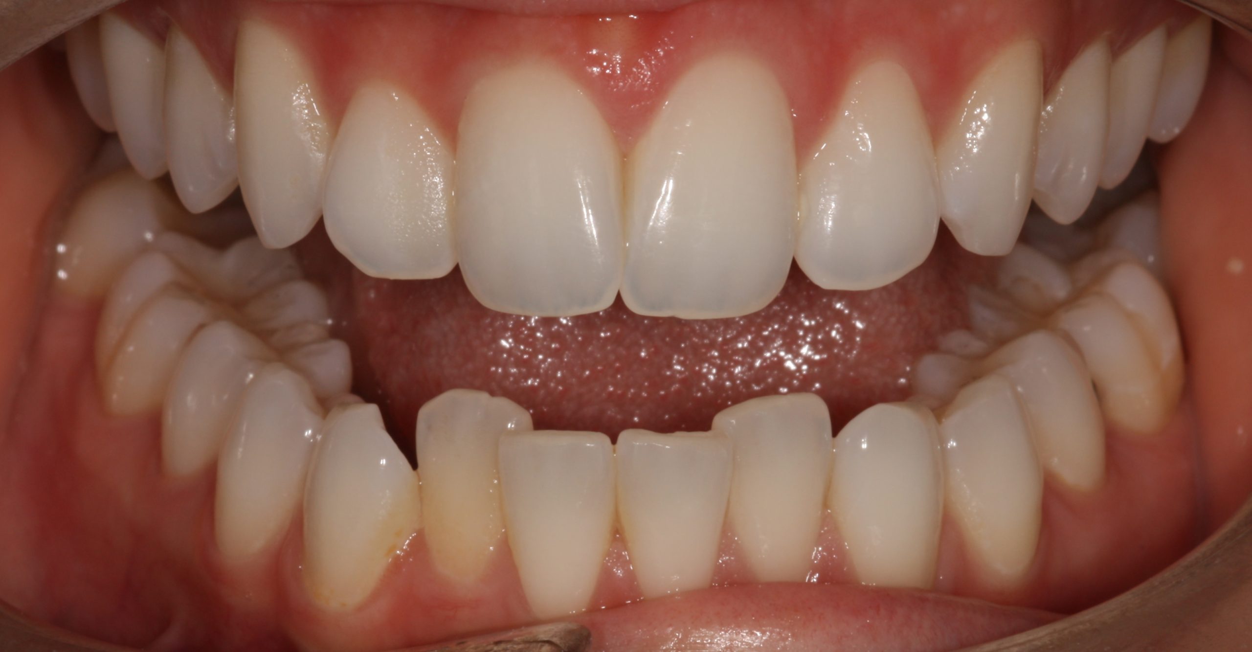
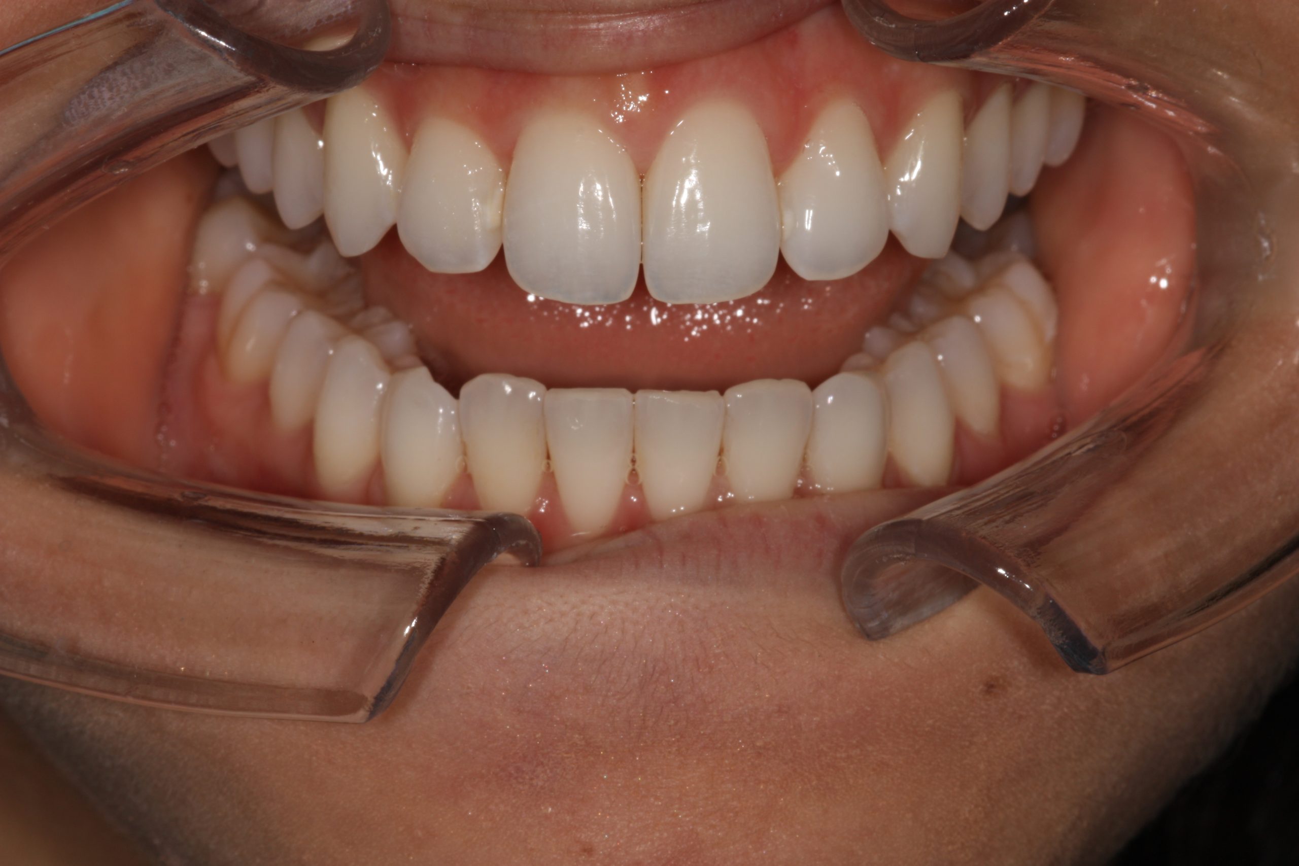
Patient 1: Before Invisalign (Above) & After Invisalign (Below)


Patient 1: Before Invisalign (Above) & After Invisalign (Below)


Patient 1: Before Invisalign (Above) & After Invisalign (Below)


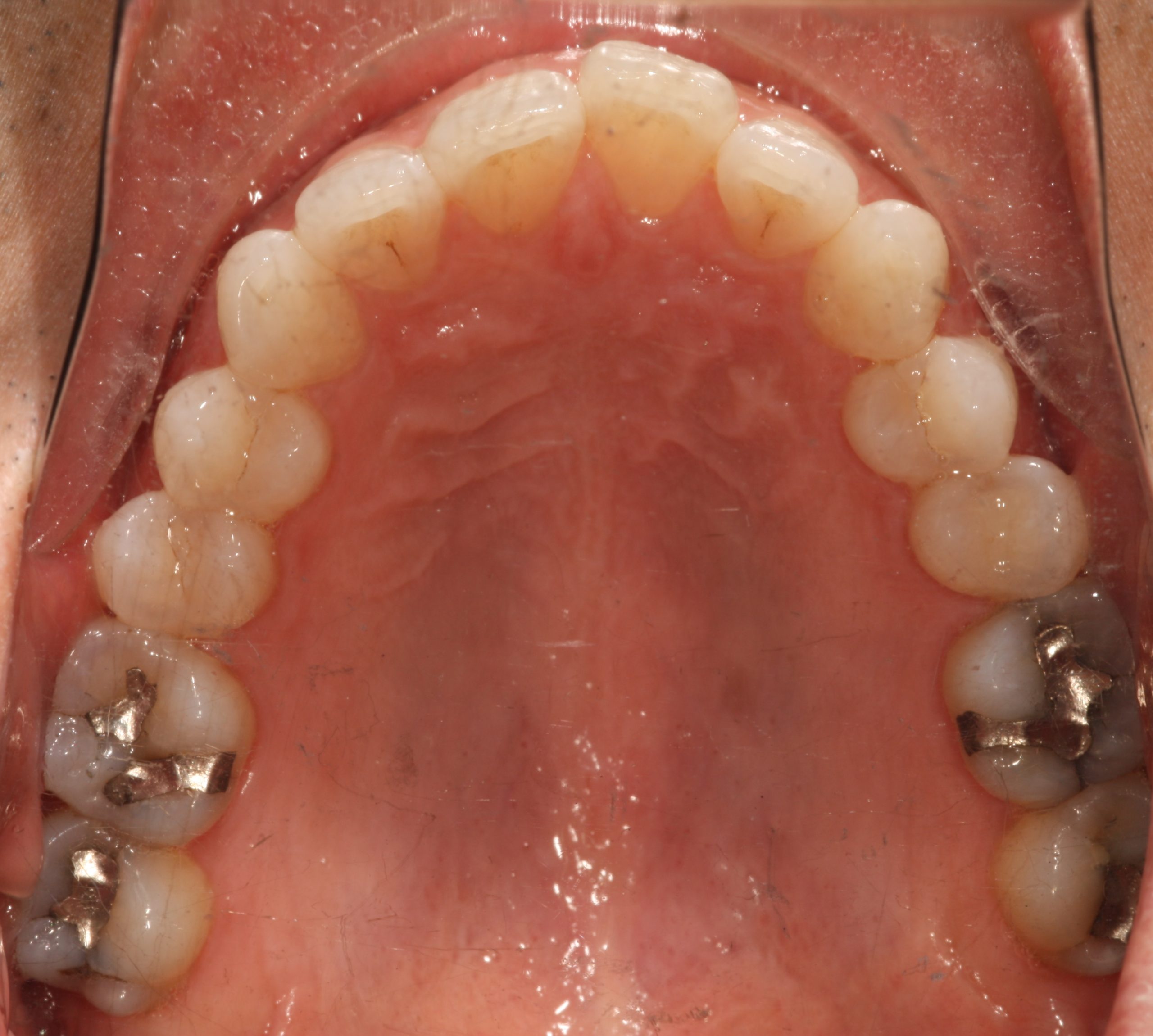
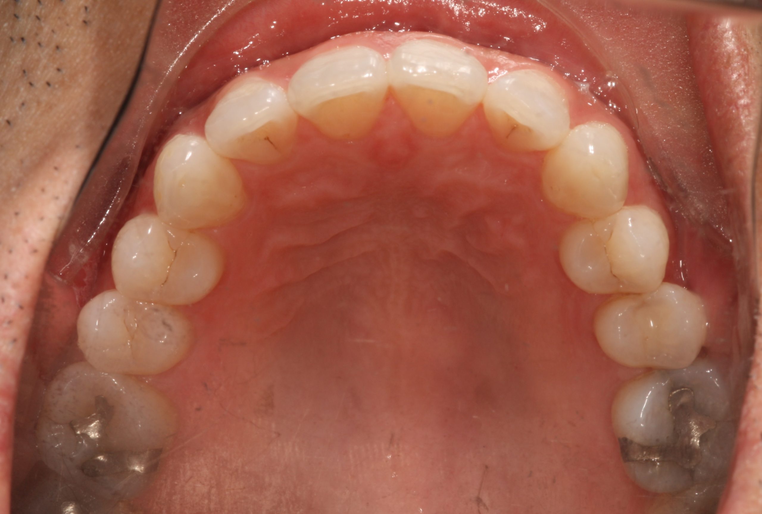
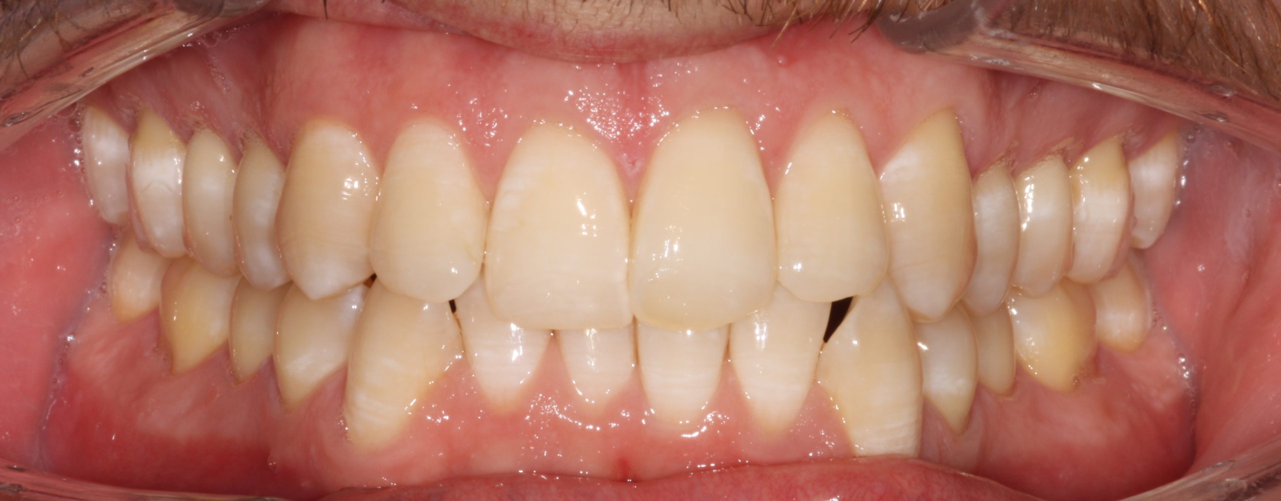
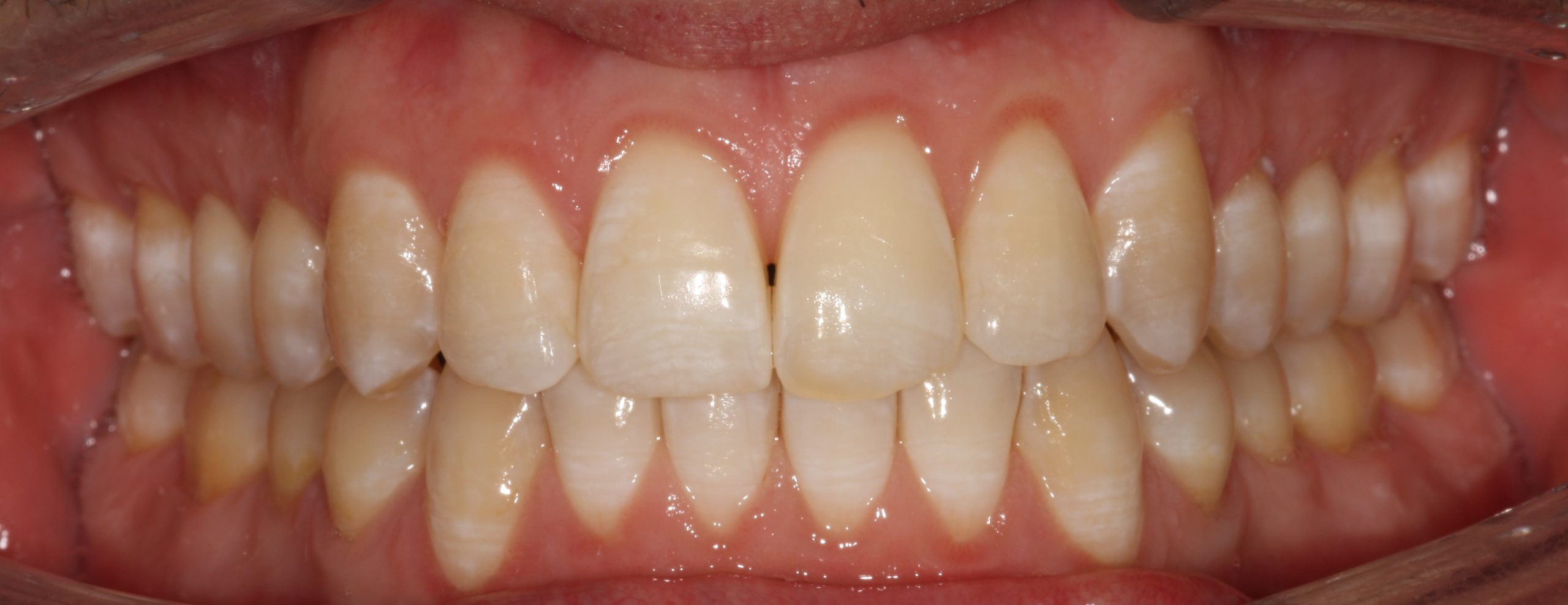
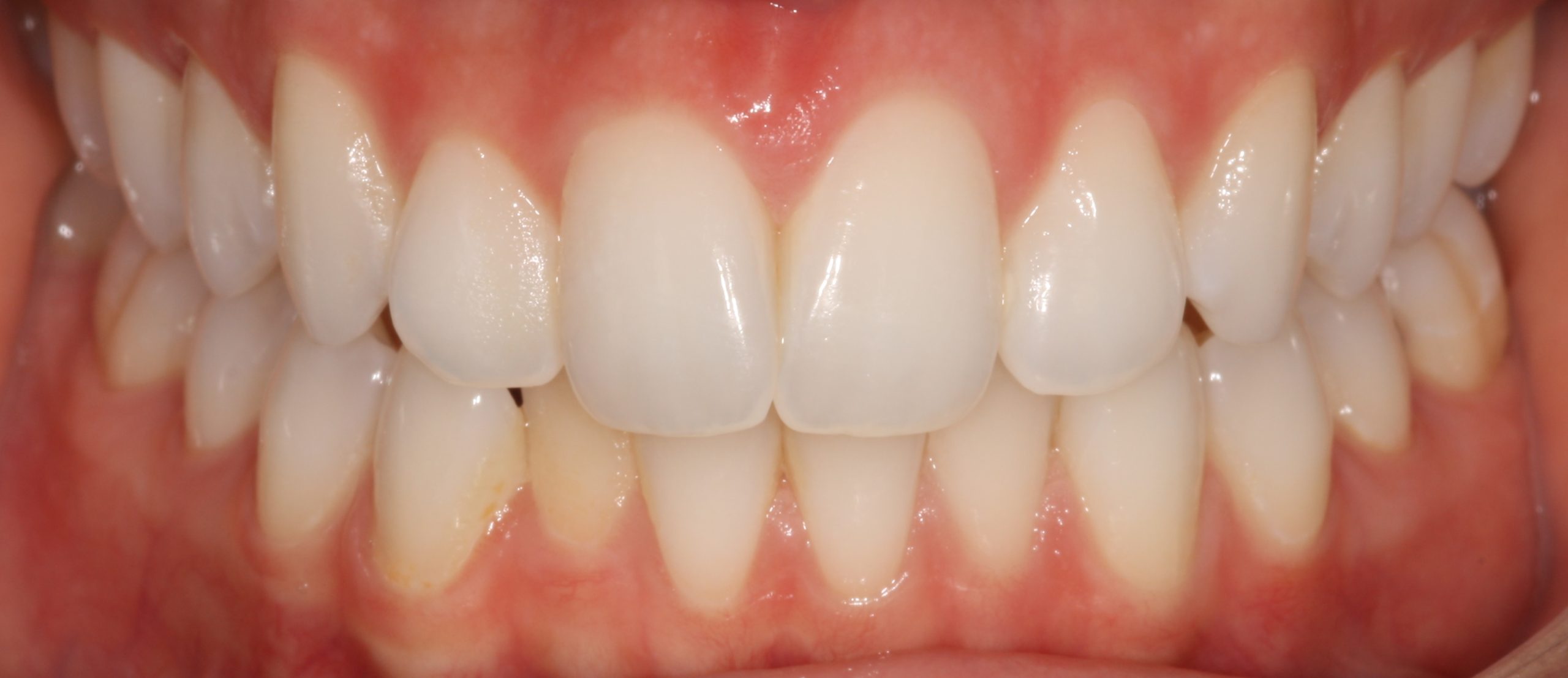
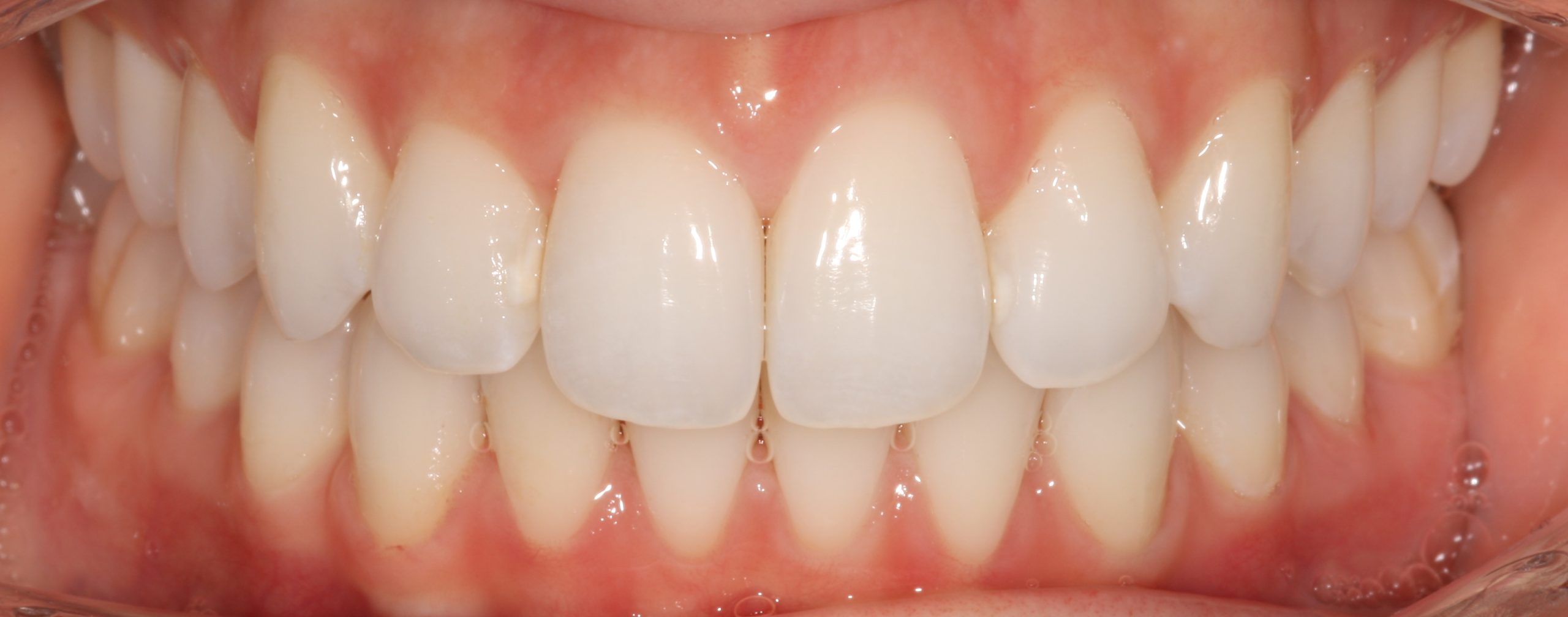
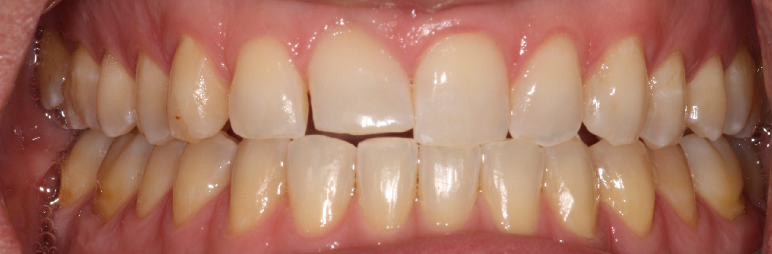
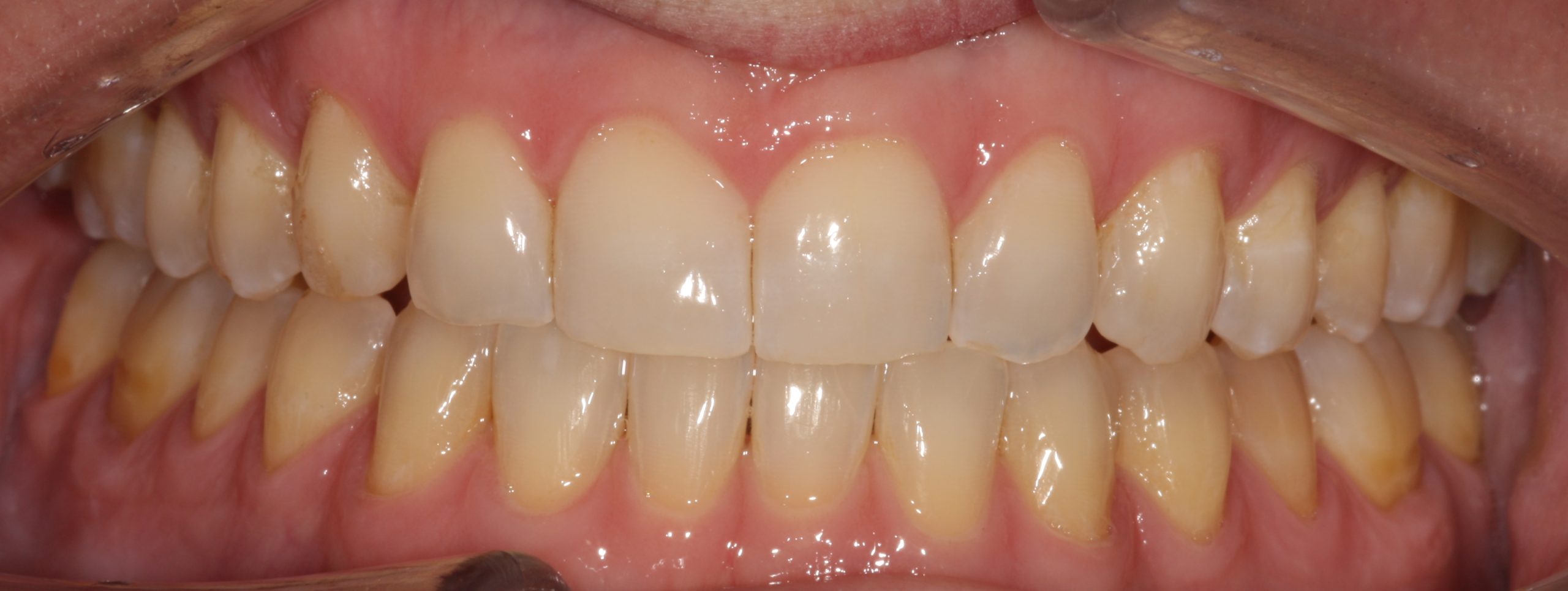
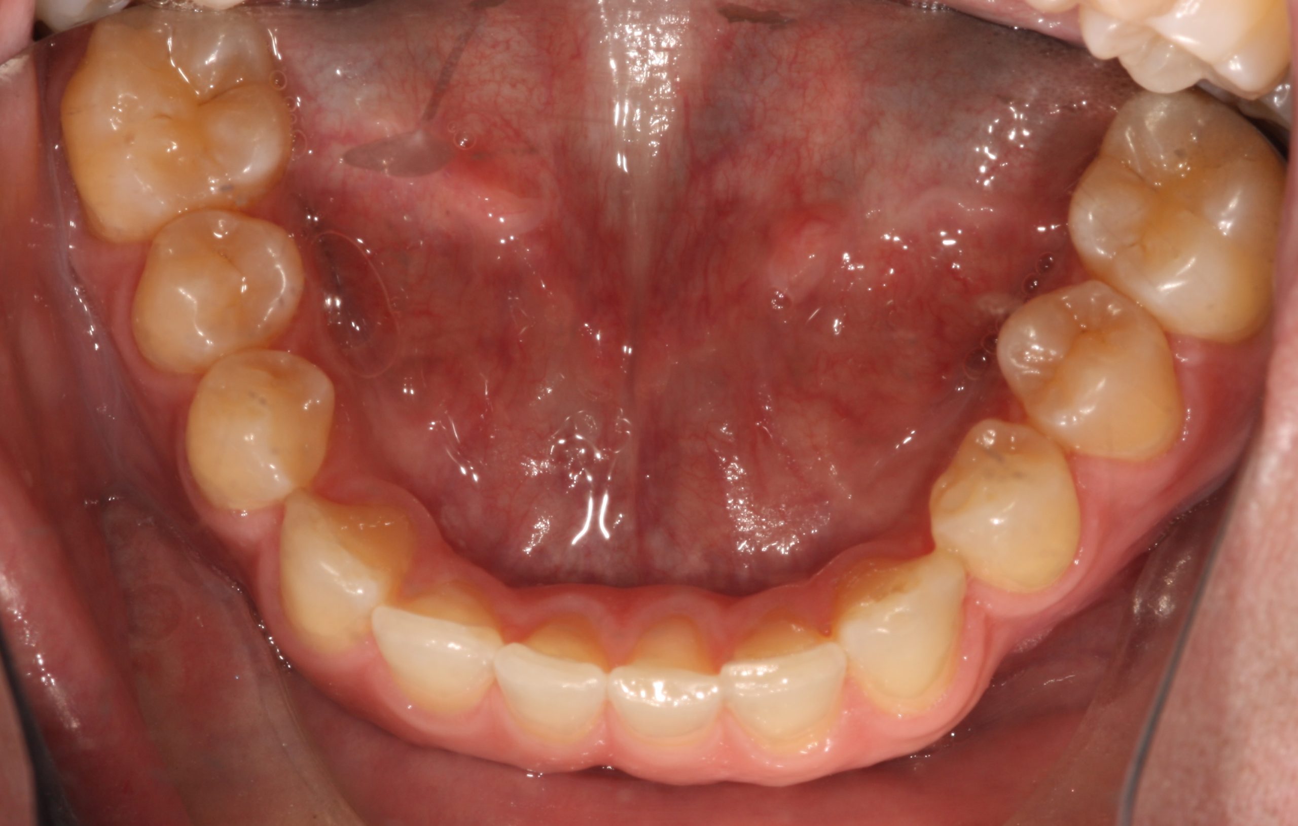
Patient 2: Before Invisalign (Above) & After Invisalign (Below)


Patient 2: Before Invisalign (Above) & After Invisalign (Below)


Patient 2: Before Invisalign (Above) & After Invisalign (Below)


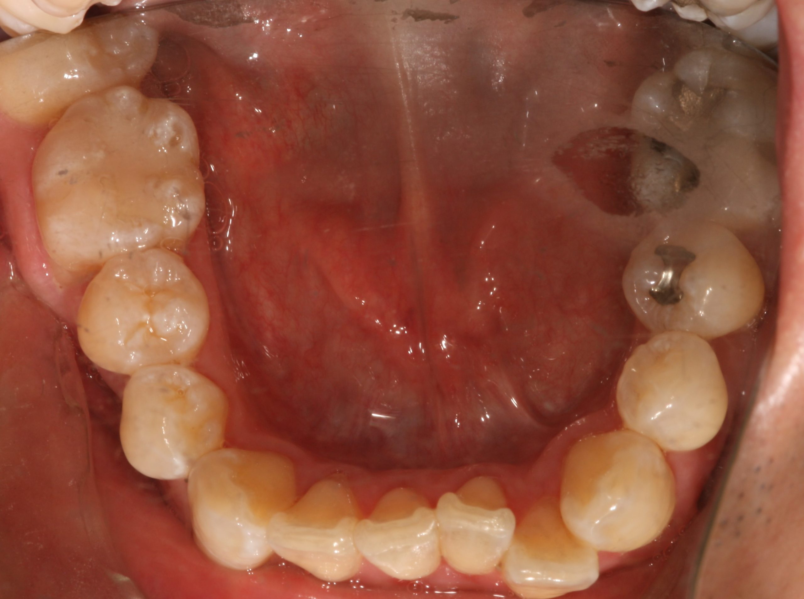
Patient 3: Before Invisalign (Above) & After Invisalign (Below)


Patient 3: Before Invisalign (Above) & After Invisalign (Below)


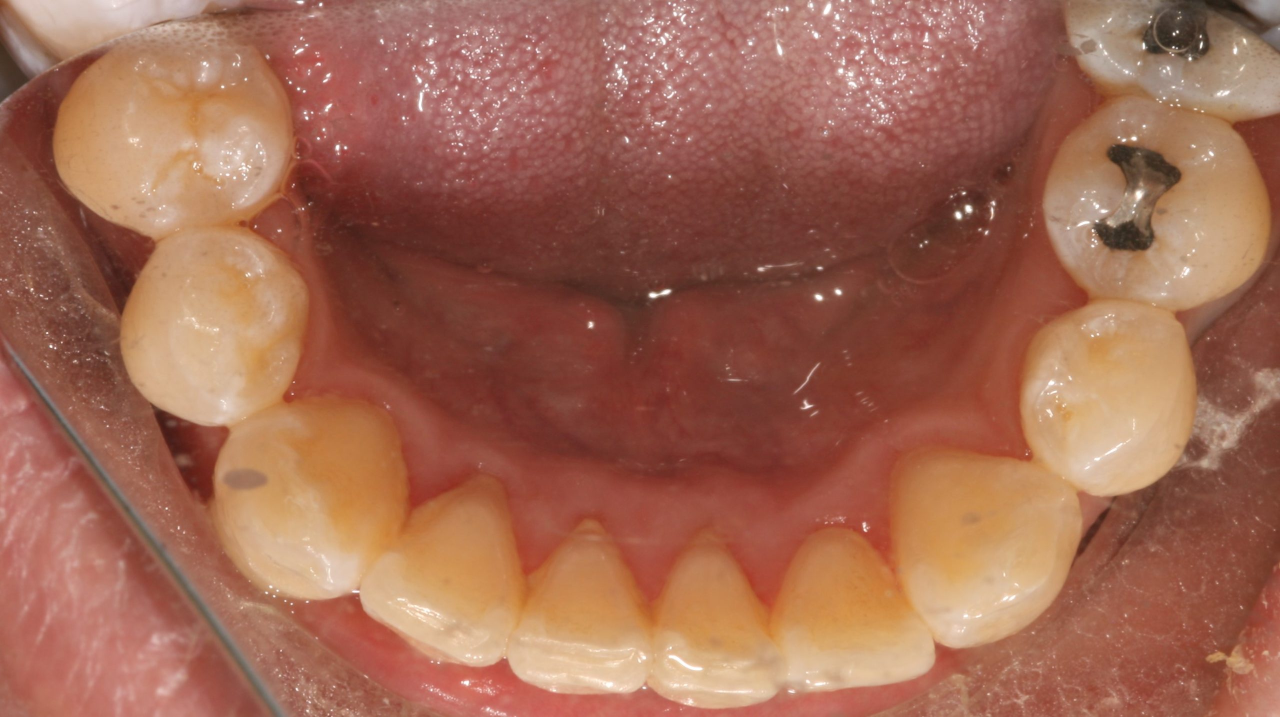
Patient 4: Before Invisalign (Above) & After Invisalign (Below)


Patient 4: Before Invisalign (Above) & After Invisalign (Below)


Patient 4: Before Invisalign (Above) & After Invisalign (Below)


Patient 5: Before Invisalign (Above) & After Invisalign (Below)


Patient 5: Before Invisalign (Above) & After Invisalign (Below)


Call us to book an appointment today for your Invisalign treatment, and learn more about the procedure by clicking here.